Tẩy trắng răng Lazer Zoom II – USA

THẾ NÀO LÀ TẨY TRẮNG LASER ZOOM II?
Tẩy trắng răng Laser Zoom II – USA là phương pháp dựa vào ánh sáng LED lạnh để kích hoạt thuốc tẩy trắng răng giúp đẩy nhanh khả năng hoạt hóa thuốc, đánh bay những mảng bám ố vàng “cứng đầu” trên răng.
Công nghệ tẩy trắng răng Laser Zoom II là dịch vụ được lựa chọn hàng đầu tại Mỹ với những ưu điểm nổi bật: Đèn Zoom White Speed có mật độ sáng cao hơn giúp đánh bay mảng bám an toàn, hiệu quả tức thì nhưng lại ít bị ảnh hưởng đến răng.
NGUYÊN NHÂN KHIẾN RĂNG SẬM MÀU?
Có nhiều nguyên nhân khiến răng sậm màu:
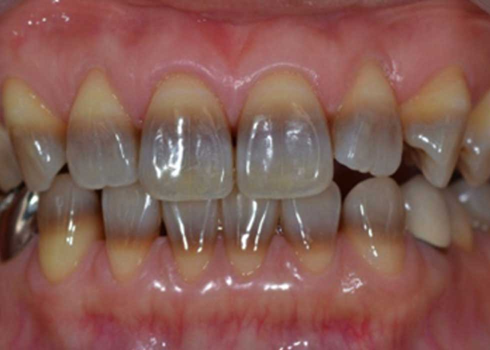
- Răng ố vàng, ngã màu do sự tích tụ của những thực phẩm có màu: Trà, cà phê, thuốc lá, nước ngọt, socola, thuốc lá… răng bị ố màu, ngã vàng do sử dụng những loại thực phẩm có chứa nhiều màu sắc trong thời gian dài.
- Vệ sinh răng không sạch hoặc không đúng cách cũng là điều kiện cho các mảng bám ứ đọng trong răng, vi khuẩn lên men khiến răng sậm màu hơn.
- Lạm dụng nước súc miệng: Các thành phần Chloherxidine, Hexetidine có trong nước súc miệng có thể làm răng bị nhiễm màu nếu sử dụng liên tục trong thời gian dài.
- Do tuổi tác: Theo thời gian, lớp ngoài men răng bị mòn dần, dùng càng nhiều loại thực phẩm và đồ uống có chứa sắc tố càng làm răng bị nhiễm màu trầm trọng hơn.
- Do di truyền: Khi bạn có men răng mỏng thì dễ càng thấy rõ ngà răng vàng bên trong. Nếu đa số các thành viên trong gia đình có hàm răng xỉn màu, khả năng cao răng bạn cũng bị vàng.
- Florua dư thừa: Sử dụng nguồn nước có nồng độ Florua cao hoặc dùng kem đánh răng chứa nhiều fluouride có thể làm đổi màu răng, khiến răng ố vàng.
ƯU ĐIỂM CỦA CÔNG NGHỆ TẨY TRẮNG RĂNG LASER ZOOM II – USA
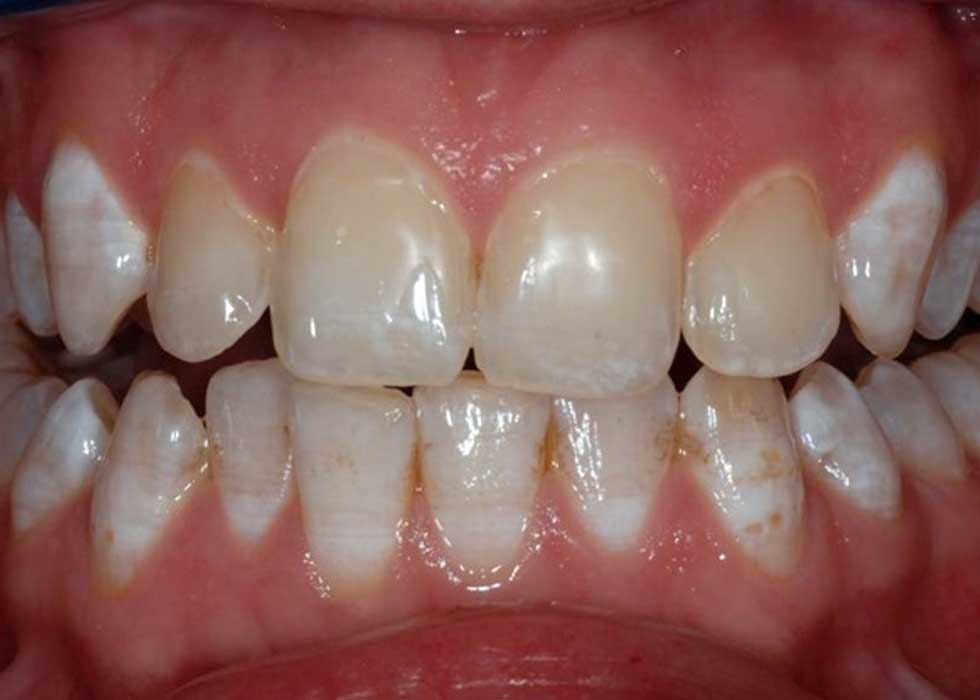
Tẩy trắng răng Lazer Zoom II – USA với đèn chiếu giúp kích hoạt gel Zoom làm trắng, dễ dàng loại bỏ các vết ố màu trên răng, trả lại cho bạn một nụ cười tươi tắn, rạng rỡ.
- Hiệu quả nhanh chóng: Quy trình tẩy trắng răng công nghệ Lazer Zoom II – USA thông thường chỉ diễn ra trong khoảng 45 phút sẽ trả cho bạn hàm răng sáng đẹp tự nhiên.
- Trắng sáng rõ rệt: Tia Laser từ đèn Zoom II – USA kích hoạt các hoạt chất tẩy trắng có thể xâm nhập vào lớp men và ngà răng, giúp tẩy trắng những vùng răng bị nhiễm màu mà không làm ảnh hưởng hay thay đổi cấu trúc răng.
- An toàn tuyệt đối: Ánh sáng LED lạnh, đèn Zoom thế hệ mới an toàn cho mắt bệnh nhân và bác sĩ vì tránh tiếp xúc trực tiếp với Laser. Cùng với đó, bác sĩ sẽ thực hiện quá trình cách ly môi bằng cách bôi gel bảo vệ nướu,… để thuốc tẩy trắng không thể tác động vào những mô mềm này, gây bỏng rát. Không những thế, công nghệ này có thể tận dụng khả năng tái khoáng của các bước sóng Laser làm men răng chắc khỏe hơn.
- Duy trì bền lâu: Sau khi tẩy trắng răng, các bác sĩ sẽ hướng dẫn bạn cách để chăm sóc và bảo vệ răng kha học. Nếu bạn áp dụng cách chăm sóc và vệ sinh răng đúng cách thì hiệu quả màu răng trắng sáng có thể được duy trì lâu dài.














