Trám răng

TRÁM RĂNG THẨM MỸ LÀ GÌ?
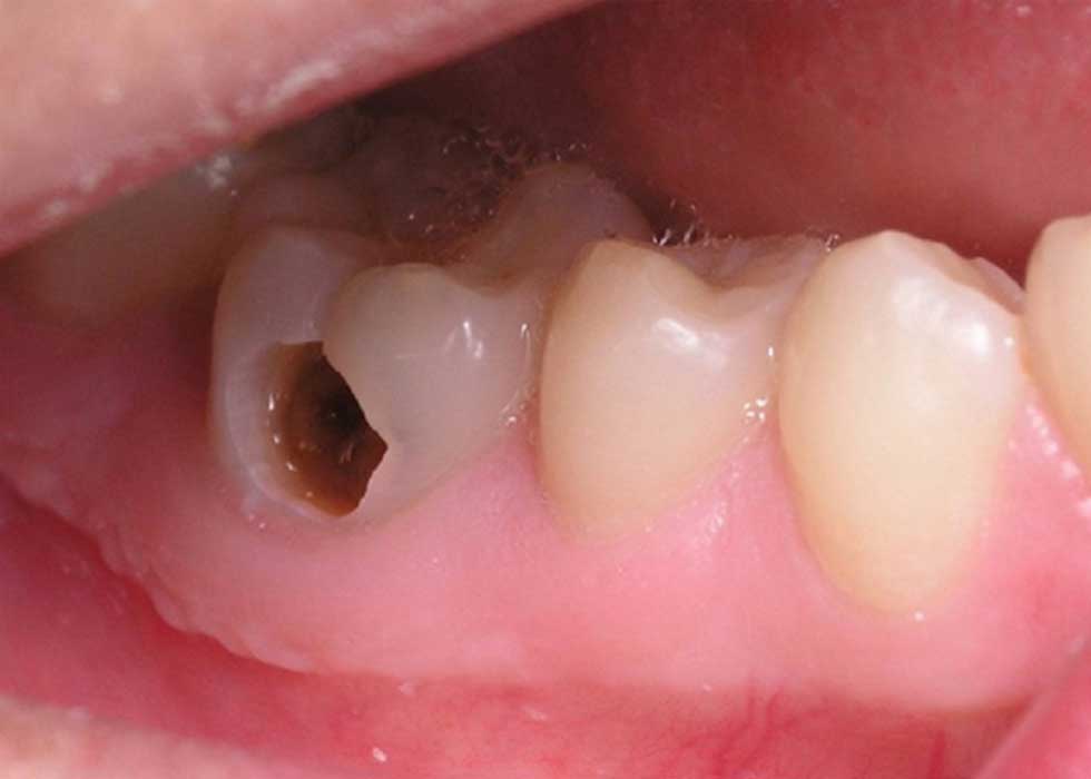
Trám răng thẩm mỹ là phương pháp giúp bịt kín lỗ sâu răng, ngăn vi khuẩn và các tác nhân bên ngoài xâm nhập hủy hoại tủy răng. Phương pháp trám răng thẩm mỹ được áp dụng cho các trường hợp răng bị gãy, mẻ, mòn, sâu hoặc có những chỗ trũng, rãnh trên bề mặt.
Trám răng thẩm mỹ là phương pháp nha khoa thông dụng giúp khôi phục lại những chiếc răng đã bị hư hỏng do sâu răng, trả lại chức năng cho răng. Biện pháp này dùng những vật liệu nhân tạo để thay thế cho phần mô răng bị khuyết hoặc để chỉnh sửa lại những khiếm khuyết về mặt “ngoại hình” của răng.
KHI NÀO BẠN CẦN TRÁM RĂNG THẨM MỸ?
Trám răng thẩm mỹ chỉ thực hiện được ở những trường hợp răng bị sâu nhẹ, mẻ ít, mòn cổ răng,… Còn các trường hợp răng bị vỡ lớn, ê nhức thì cần được can thiệp bằng phương pháp điều trị tủy, bọc sứ mới có thể phục hồi lại thẩm mỹ và chức năng ăn nhai của răng.
- Răng sứt mẻ miếng lớn.
- Răng bị mòn men, hở kẽ nhỏ.
- Răng sau khi điều trị lỗ sâu, tủy.
- Răng bị sâu, chớm sâu răng (chưa chạm đến tủy răng).
NÊN THƯỜNG XUYÊN ĐẾN NHA KHOA KIỂM TRA RĂNG MIỆNG ĐỊNH KỲ
Trong trường hợp bạn đã thực hiện trám răng thẩm mỹ từ lâu trước đó thì càng cần khám định kỳ thường xuyên để kịp phát hiện các hiện tượng mòn, bể… để được tư vấn và áp dụng các biện pháp do bác sĩ chỉ định như thay miếng trám hay trám lại càng sớm càng tốt để tránh vết sâu lan rộng ra hơn và ảnh hưởng đến tủy.














